Monday, June 17, 2019

Left Brachiocephalic Vein

  • Brachiocephalic vein. Vs azygous vein. Internal jugular vein


    Watch Now
  • Superior Vena Cava Cardiovascular System | Human Anatomy - Kenhub

    The superior vena cava is a venous trunk which carries deoxygenated blood from the circulatory system towards the heart. Get learning all about this fascinating ...
    Watch Now
  • The Left Brachiocephalic Vein


    Watch Now
  • Brachiocephalic vein

    The left and right brachiocephalic veins in the upper chest are formed by the union of each corresponding internal jugular vein and subclavian vein. This is at the ...
    Watch Now
  • Vena cavae (anatomy of the superior vena cava and inferior vena cava)

    After last week\'s aorta, let\'s look at the anatomy of the superior vena cava and inferior vena cava and how blood from the body gets back to the heart.
    Watch Now
  • Development of Superior Vena Cava and Brachiocephalic veins

    1. Development of Superior Vena Cava and Brachiocephalic veins. 2. Development of Coronary sinus. 3. Development of Oblique vein of left atrium. 4.
    Watch Now
  • CIRCULATORY SYSTEM ANATOMY: Systemic circulation arteries of the torso model description

    Short video of the systemic circulation arteries on the torso Identified: Ascending aorta Aortic arch Brachiocephalic artery Left common carotid artery Left ...
    Watch Now
  • Veins of the body - PART 1 - Anatomy Tutorial

    http://www.anatomyzone.com 3D anatomy tutorial on some important veins of the body using the BioDigital Human browser (http://www.biodigitalhuman.com).
    Watch Now
  • Brachiocephalic Veins – Thoracic Vessels Lecturio


    Watch Now
  • Arteries & Veins of Man Model


    Watch Now
  • Ultrasound-guided supraclavicular brachiocephalic vein (BCV) catheterization


    Watch Now
  • ANATOMY - Azygos Venous System

    anatomy #azygos #cava Descriptive anatomy of the azygos veins. Drawing anatomy on the whiteboard. The term azygos means single i.e. without a companion.
    Watch Now
  • Heart Model - External

    For pictures of this model with answer keys to help you study, visit: http://www.humanbodyhelp.com/heart-models/ ...
    Watch Now
  • Double left brachiocephalic vein with a preaortic course:

    Medicine by Alexandros G. Sfakianakis,Anapafseos 5 Agios Nikolaos 72100 Crete Greece,00302841026182,00306932607174,alsfakia@gmail.com, ...
    Watch Now
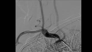
  • brachiocephalic stent angioplasty

    brachiocephalic ostium severe stenosis treated with balloon mounted stent angioplasty.
    Watch Now
  • Heart external features

    Inferior Vena Cava Superior Vena Cava brachiocephalic veins (L&R) Right and Left Jugular Veins Ascending Aorta Aortic Arch Brachiocephalic Artery (Trunk) ...
    Watch Now
  • Heart Model - Azygos and Brachiocephalic Veins

    This video was produced to help students of human anatomy at Modesto Junior College study our anatomical models.
    Watch Now
  • What Is Superior vena cava?

    The superior vena cava (also known as the cava or cva) is a large diameter, yet short, vein that carries deoxygenated blood from the upper half of the body to the ...
    Watch Now
  • Venous Anatomy of the Upper Thorax and Central Venous Catheter

    This video shows the #venous #anatomy of upper #thorax and neck. It also explains the various courses of the central venous catheter inserted via right and left ...
    Watch Now

No comments:

Post a Comment